Rare Cancers | NFCR Blog

Rare cancers are those that affect fewer than 40,000 people per year in the U.S.* For multiple reasons, there is a gap in research support for rare cancers, which can limit research progress. Learn more about NFCR’s genomic approach which aims to benefit ALL types of cancers.

Genetic Cues to Ovarian Cancer Explored

[vc_template name=”A world without”]

Read more

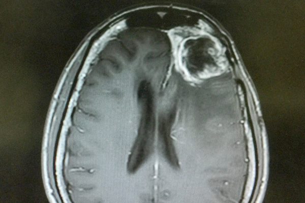
Origin Cells of Glioblastoma May Have Been Identified

[vc_template name=”A world without”]

Read more

A Letter of Hope from a Mother and Cancer Survivor

[vc_template name=”A world without”]

Read more

Esophageal Cancer Awareness Month: Identifying Potential for New, Personalized Treatments

Although esophageal cancer makes up only 1% of cancer diagnoses in the…

Read more

Trending Improvements for Multiple Myeloma

[vc_template name=”A world without”]

Read more

“Pink Drink” to Aid Brain Tumor Treatment

[vc_template name=”A world without”]

Read more

November Is Pancreatic Cancer Awareness Month

Even in the company of other vicious diseases, pancreatic cancer is particularly…

Read more

The Development of Better Ovarian Cancer Biomarkers

[vc_template name=”A world without”]

Read more

Pediatric Cancer Drug Has 93% Effectiveness

[vc_template name=”A world without”]

Read more

Exercise for Sarcoma Patients

Exercise and stretching are important for everyone and at all times. They…

Read more